That Level Again 3 Story
Q Tbn 3aand9gcstjzprcr8gdbrb0e2ycwr6gizota766zaowhhfohonkfxoktr4 Usqp Cau

That Level Again 3 Story All Level Walkthrough Youtube

Story 7 That Level Again 3 네이버 블로그

Spotify Tips And Tricks How To Get More Out Of Each Listen Wired

Night Night Elie Wiesel Marion Wiesel Elie Wiesel Amazon Com Books

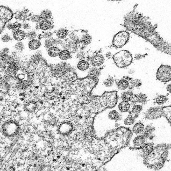
Coronavirus What Does Covid 19 Do To The Brain c News
Read the messages, use your brains and have fun!.
/https://public-media.si-cdn.com/filer/3a/70/3a70f58d-dabc-4d54-ba16-1d1548594720/2560px-fibonaccispiralsvg.jpg)
That level again 3 story. He also missed being class monitor. Jump down to watch the cutscene with Tyreen:. Everything from the basic structure that all stories share to staging and cinematography.
This time it’s not levels, but a story (and a few separate levels). This time it’s not levels, but a story (and a few separate levels). And just in time for the first DLC pack with a level increase.
TLA and TL continued. By this point you've experienced multiple characters. Maxed them out as much as you can.
That Level Again 3 – “Good but we need to change the background” Walkthrough. Although there are no DLCs yet, it's a good idea to complete them after the Main Story. Play the same level one time after another, with some game changing twists every time.
After the credits, go back to Sanctuary & head to Lilith's room:. That Level Again 4 level 5- Press The Button;. According to Gearbox, there will be 4 upcoming story DLCs for Borderlands 3.
Let me present you the next part of, dare I say it, cult TLA series that has more than 10 millions downloads (+-give or take one billion), from an indie developer that has created That Level Again, That level again 2, That Level Again 3, Looper, Some Ball Level and many more!. A lot of logic brain teasers and interesting solutions. That Level Again 3 – “I don’t want to do anything” Walkthrough;.
A lot of logic brain teasers and interesting solutions. A lot of logic brain teasers and interesting solutions. It is a quick video (15 mins) where you will see how to complete the full story and also all the levels (10) in the game.
Most people — her teachers and doctors included — don't think she's capable of learning, and until recently her school days consisted of listening to the same preschool-level alphabet lessons again and again and again. That Level Again Level 60 Solved. Go back- go to the third level.
Good, but we need to change the background:. That Level Again 3 Walkthrough and Solutions. That Level Again 3 – “Here’s The Button” Walkthrough.
Realistic (fiction), 5 words, Lexile 530L Level 3 Grades 2-3. In the tradition of TLA, all puzzles have simple and logical (not always) solutions that you need to figure out. Ты в комнате, где есть шипы, платформы, кнопка и дверь.
That Level Again mod game info. Где уровни похожи друг на друга, а прохождение - нет. After more than four months, the US State Department on Thursday lifted its advisory warning US citizens against traveling abroad.
That Level Again 3. Use your logic and ingenuity to lead the hero to the goal by the levels of this game for Android. We are aware that it might get tricky sometimes that is why we are sharing below all solutions on how to pass every single level.
Let’s start the game. Good, but we need to change the background. Download That Level Again 3 APK – LEFT LEFT RIGHT RIGHT JUMP JUMP.
That level again 3 apk :. Its All in Your Hands. Just step on the button and slide your finger over the screen (Not tongue!) and press Tick in next screen.
That Level Again Guide 3 – Full Story & Levels We provide yo the solutions for the Full Story of the game. That Level Again 4 level 3- Press the button;. CenturyLink has been caught trying to steal rivals’ customers despite signing a court document promising it would do no such thing.
In Level 3 your student will learn the tools to take their ideas and transform them into a cohesive narrative that communicates a clear theme. Under Level 3, businesses are able to open, but should not physically interact with customers. Let’s start the game Press the Start Word in the sentence Level 2:.
The instructions were simple – the story had to be about religion, sexuality and mystery, and it had to be as short as possible. Worksheets include 3rd grade level fiction and non-fiction texts followed by exercises as well as worksheets focused on specific comprehension topics. And screenshot that written (FAGEE)- you will require this code in stage 3.
She's the smartest kid in her whole school, but no one knows it. This page contains That Level Again 3 Video Walkthroughs for Android called "Walkthrough Part 36 (LAST PART + HAPPY ENDING)" and has been posted or updated on Jun 2, 16 by PGS. That Level Again 3 – “Let other forces to control me I’ll remember it” Walkthrough;.
That Level Again 3 – “I destroyed everything that was moving me” Walkthrough;. At endgame, you should be geared enough to try Level 1, then work your way to getting geared up for the next levels. All you have to do is find the way to do that and you may want to think a little bit outside the box.
That Level Again 3 1.05 (6) Update on:. That Level Again 3 – “I’m doing all I can but I stay still” Walkthrough;. Moving into the most important aspect of film-making, Level 3 delves into how to tell a story.
Annie lives outside of Portland, Oregon, with her husband and son. This time it's not levels, but a story (and a few separate levels). That level again 3 - lead the hero through the intricate levels, on which are placed various obstacles and cunning traps.
Download That Level Again 3 and enjoy it on your iPhone, iPad, and iPod touch. This time there is no levels, but a story (and a few separate levels). That Level Again 3 – “Its All in Your Hands” Walkthrough.
Jan 19, - (UPDATED ) Walkthrough for That Level Again Level 60:. Poor Ming-he's always late. And there's no delete button.
Swipe left or right choose the side without spikes. Press the Button with your finger, and move the character to another end. This time it’s not levels, but a story (and a few separate levels).
Beat the game AGAIN. The Three Little Pigs Fight Back, and Toy Story 3.She has also published under the name A. That Level Again 3 Story All Level Walkthrough Cheats Solutions of прохождение that level again story level answers, guide.
Enjoy the videos and music you love, upload original content, and share it all with friends, family, and the world on YouTube. Read the messages, use your brain and have fun!. This time it’s not levels, but a story (and a few separate levels).
Download That Level Again 3 For PC from Online Apps For PC.Description:LEFT LEFT RIGHT RIGHT JUMP JUMP TLA and TL continued. Solve logic puzzles and pass levels!. How do you press it.
A Very Short Story – Level 3. That Level Again 3 – Story Ending Walkthrough. There are levels of Mayhem Modes you can play.
A lot of logical riddles and interesting solutions. This time it’s not levels, but a story (and a few separate levels). That Level Again mod – Direct download and play That Level Again full unlocked android game for free.
Because he was late for school, he missed out on a muffin from his friend Daisy. Jan 19, - (UPDATED ) Walkthrough for That Level Again Level 32:. In earlier part of the game, there were 64 levels that players have to solve, however in that level again 3 there is a story which consists of various chapters in which you have to solve various puzzles.
Your objective is to simply exit the room. Listen & Read online or download for free graded reader audiobook English7Levels. Lets see how you’ll handle this.
Hope u like it Pls subscribe if it's really helped you!. Here is my first gaming video. Max out a character's skill tree.
TLA and TL continued. That Level Again 3 Story Walkthroughs. That Level Again 3 is a third part in That Level Again game series.
Grab the key to exit the door and, most important, use your imagination if necessary. Move the hero from side to side, perform jumps on platforms, Jump over the dips and traps. Download That Level Again 4 and enjoy it on your iPhone, iPad, and iPod touch.
That Level Again 3 1.11 Update. A lot of logic brain teasers and interesting solutions. Coronavirus breaks out again in New Zealand after 102 days.
Follow me On FaceBook :. That Level Again 3 Walkthrough. Levels in the game:.
That Level Again Level 32 Solved. This time it’s not levels, but a story (and a few separate levels). Here’s A MASSIVE WALL OF PROMOTIONAL MATERIAL!.
Give the Vault Key to Tannis then loot the chest she opened:. Denver's Jamal Murray (right) finished with 21 points, five rebounds and five assists The Denver Nuggets overcame a 19-point second-half deficit to beat the Los Angeles Clippers and take their. That Level Again 4 level 4-Back;.
Elon Musk Promises a $25,000 Tesla in 3 Years—Again Reducing the cost of electric vehicles is all about a cheaper battery. So here you have the video (from the youtuber Perito & Noob) and the full Walkthrough. Talk to Tannis then place the Eridian artifact to activate Mayhem Mode :.
Below you will be able to find all 64 That Level Again 2 Walkthrough.A very interesting logic game which will keep your brain sharp. Learn english through story English7Levels. Free printable reading comprehension worksheets for grade 3.
TLA 3 is a great puzzle game that will challenge your skills. The story in the third game is. LEFT LEFT RIGHT RIGHT JUMP JUMP TLA and TL continued.
A lot of logic brain teasers and interesting solutions. This video is unavailable. The first time I booted it up I assumed it was another platformer.
Read the messages, use your brains and have fun!. LEFT LEFT RIGHT RIGHT JUMP JUMP A small logic game. Tesla outlined a plan that includes making more of the components itself.
By Jokes in Levels | Apr 23, | Level 3 | A girl handed in a short story for her English class. Watch this video to solve TLA 3 s. After the Mayhem Mode tutorial, the.
Essential services, including healthcare, justice services and businesses providing necessities are. Though Borderlands 3 may be a long game with a lengthy story, there will come a time when you finish its main missions and are left to find something else to occupy your time with the game. LEFT LEFT RIGHT RIGHT JUMP JUMP TLA and TL continued.
Come back to 4th level, Press the button by finger and again go Left, you will reach level 6. Puzzle-platformer with unique and surprising challenges!. This time it’s not levels, but a story (and a few separate levels).
Do Ultimate Vault Hunter mode. Read the messages, use your brains and have fun!. Puzzle platformer with surprising and unique challenges.
Play in Mayhem Modes. That Level Again 3 Walkthrough:. Get the BEST gear.
That Level Again for Android is a mind bender that happens to fall somewhere in the middle. Read the messages, use your brains and have fun!. Jump with the button on your right for 7 or more times and another button will appear.Drag the button on your lower left corner.Press PAUSE button when the menu.
That Level Again 3 – “Lets start the game” Walkthrough. Annie Auerbach is the New York Times bestselling author and editor of more than 0 children’s books, including Teen Titans Go!:Robin Rules!, Plants vs. That Level Again 4- Urgent Task-Save This, Lick the device;.
Find a safe path to the finish. The game features a story with a few separate levels). After all, there were platforms, and some of those platforms had spikes on them.
Watch the cutscenes & credits:. As part of gaining approval from the US government for its proposed $34bn takeover of Level 3, CenturyLink agreed in 18 to sell some of its new acquisition's fiber networks in several metro areas to ensure there was some degree of competition in the market. These children's stories and reading worksheets will help kids practice reading and improve their comprehension skills.

That Level Again 3 Complete Story Happy Ending Youtube

Top 18 Design Apps For Instagram Stories In

4126 12th Ave Ne Seattle In Progress

12 Google Classroom Strategies To Start Using Today By Tim Cavey Teachers On Fire Magazine Medium

That Level Again 1 36 For Android 2 3 3 Tech Story Net

That Level Again 3 攻略法6 Lagrange Blog

Instagram Stories Analytics Every Metric You Need To Know

That Level Again 3 Too Dark Can You Make It Brighter Youtube

What Is Story Point In Agile How To Estimate A User Story

Premier League Bundesliga Serie A And More We Predict The Champions Of Europe S Big Five Leagues

The Trump Economy Versus The Obama Economy In 16 Charts The Washington Post

Again That Level 3 Android

Baldur S Gate Iii All You Need To Know About The Release Date Plot News And More Nme

Teaching Story Elements Literacy Ideas

Story 3 That Level Again 3 네이버 블로그

That Level Again 3 Part 26 Walkthrough There S Always A Way To Her Youtube

That Level Again 3 Apk Download With Images Game App Games Free Games

That Level Again 3 Rip 16 Youtube

Covid 19 S Future Small Outbreaks Monster Wave Or Ongoing Crisis Stat
2
:no_upscale()/cdn.vox-cdn.com/uploads/chorus_asset/file/19397720/Screenshot_20191121_155903.png)
How To Use Alexa To Turn On The Lights The Verge

How To Safely Add Muriatic Acid To Your Pool Sensorex

12 Google Classroom Strategies To Start Using Today By Tim Cavey Teachers On Fire Magazine Medium
/cdn.vox-cdn.com/uploads/chorus_image/image/63871854/Screen_Shot_2019_05_19_at_11.03.47_PM.0.png)
An Apology To George R R Martin Ending Game Of Thrones Is Really Hard The Verge

Credible Crypto A Short Story I Am Once Again Blocked By The Year Real Estate Mba Holding Market Cycle Enduring Flipper Of Satoshis It Seems Every Time I Call For

That Level Again 1 36 For Android 2 3 3 Tech Story Net

Cambodia Fire The True Story Of One S Man S Solo Mission To Help Put Out The Fires In Cambodia From His Home Half Way Around The World Mendel Doug Palz Mark Amazon Com Books

Setting Of A Story How To Create A Story Setting That Attracts Readers

That Level Again 3 There S Always A Way To Her By Tlawalkthrough

The Trump Economy Versus The Obama Economy In 16 Charts The Washington Post

Three Act Structure In Film Definition And Examples

Fundraising Letters The Ultimate Guide With Free Examples
2

7 Ways To Structure Your Presentation To Keep Your Audience Wanting More
That Level Again 논리 퍼즐 안드로이드 게임 구글 플레이

Max Payne Video Game Wikipedia

A Doofus Has No Name Ghanaian Pallbearing It Used To Be A Dinosaur And Now It S Just Trying To Get Back To That Level Again

Premier League Bundesliga Serie A And More We Predict The Champions Of Europe S Big Five Leagues

Watch The Magic School Bus Rides Again Prime Video

Oak Tree Business Systems Inc

That Level Again 3 I M Doing All I Can But I Stay Still Youtube

19 Types Of Graphic Organizers For Effective Teaching And Learning

That Level Again 3 Part 28 Walkthrough Did I Betray Her Youtube

That Level Again 3 Story Mode Shortcut Walkthrough Youtube

Instagram Stories Analytics Every Metric You Need To Know

That Level Again 3 Apk Download Latest Android Version 1 11 Ru Iamtagir Thatlevelagain3

Oxygen On Mars Adds To Atmospheric Mysteries The New York Times

Covid 19 Live Updates After Criticism C D C Reverses Guidelines About Testing People Who Were Exposed The New York Times

I Taught With Assemble With Care
How To Increase Sales In Retail 19 Expert Backed Tips To Try In Your Store Update Vend Retail Blog

That Level Again 3 Story Youtube

That Level Again 3 Double Jump Youtube

What Are Story Points

Coronavirus Is The Pandemic Getting Worse In The Us c News

Q Tbn 3aand9gctbkxu4xhzl26 Jhvzlopmmkdznefrymnfmew Usqp Cau

The Trump Economy Versus The Obama Economy In 16 Charts The Washington Post

How To Use The Rule Of Three To Create Engaging Content Copyblogger

All Scary Stories To Tell In The Dark Ranked
Q Tbn 3aand9gct7lvdel1vjds4opmpjca Mizraqp50wnhbyxwwmt Khu5kjh Usqp Cau

That Level Again 3 Story Ending Walkthrough

Rattled The Only Obstacle Is The One In Front Of You Market Recon Realmoney
What Is The Best Thing To Do When You Have Free Time Quora
2
/https://public-media.si-cdn.com/filer/3a/70/3a70f58d-dabc-4d54-ba16-1d1548594720/2560px-fibonaccispiralsvg.jpg)
The Fibonacci Sequence Affects The Stock Market Science Smithsonian Magazine
/cdn.vox-cdn.com/uploads/chorus_image/image/67560220/AP20272628174576.0.jpg)
Dnpyfgewm5uzdm

That Level Again 1 36 For Android 2 3 3 Tech Story Net

What Is Story Point In Agile How To Estimate A User Story

How To Ask For A Letter Of Recommendation With Examples Indeed Com

Close Reading Comprehension Color Coding Text Evidence 2nd Grade Color Coding Text Evidence Reading Comprehension Close Reading Comprehension

Fundraising Letters The Ultimate Guide With Free Examples

9ismst5h0y12im

Download That Level Again 3 Full Apk Direct Fast Download Link Apkplaygame

Covid 19 S Future Small Outbreaks Monster Wave Or Ongoing Crisis Stat

I Played That Level Again 1 2 3 And 4 And I Really Like The Story Its Not A Very Popular Game B I Played That Level Agai Popular Games Pencil Art Puzzle

That Level Again 3 Story Mode Walkthrough Youtube

Gummy Drop Match To Restore And Build Cities Apps On Google Play

열두번째 게임 That Level Again 3 배드 엔딩 1 열다 네이버 블로그

Designs Rejected Again For Proposed Strip District 21 Story Office Tower Pittsburgh Post Gazette

Three Act Structure In Film Definition And Examples

Premier League Bundesliga Serie A And More We Predict The Champions Of Europe S Big Five Leagues

Far Cry 3 Wikipedia

Great Depression Wikipedia

That Level Again 3 1 09 Full Apk Android

Instagram Stories Analytics Every Metric You Need To Know
That Level Again 3 Apps On Google Play

7 Ways To Structure Your Presentation To Keep Your Audience Wanting More
Love Yourself 結 Answer Recognized By Bts 방탄소년단 Army Madagascar Facebook

What It Feels Like When You Ve Found Product Market Fit

Covid 19 Richland County Moves To Level 3

How To Make Your Teaching More Inclusive

Setting Of A Story How To Create A Story Setting That Attracts Readers

The Trump Economy Versus The Obama Economy In 16 Charts The Washington Post

8 Big Reasons Election Day Could Be A Disaster Politico

3 Big Stock Charts For Wednesday Juniper Networks Eli Lilly And Hormel Foods

Q Tbn 3aand9gcrtgjwn4llv5emfohp Urf5kirrluxvhpg9bq Usqp Cau

Premier League Bundesliga Serie A And More We Predict The Champions Of Europe S Big Five Leagues